ZDF
Volle Kanne - Behandlung von Morbus Crohn
Volle Kanne
Behandlung von Morbus Crohn
ZDF
Volle Kanne
Behandlung von Morbus Crohn
- 19.05.2025
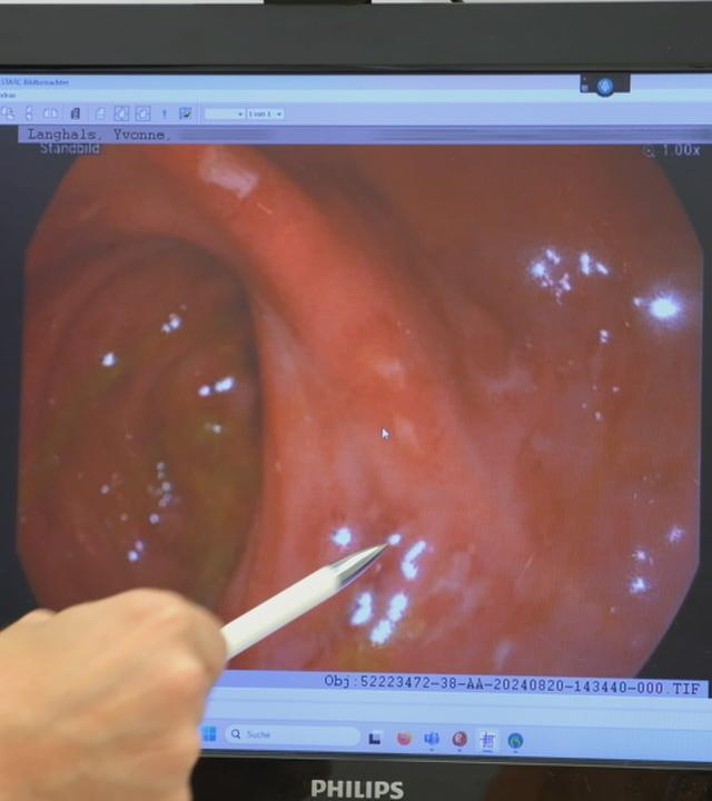
Bei Morbus Crohn handelt es sich um eine chronisch-entzündliche Darmerkrankung, die bislang als unheilbar gilt. Die Therapie erfolgt individuell, etwa mit Kortison, Immunsuppressiva, Biologika und sogenannten Small Molecules.
Behandlung von Morbus Crohn
- Gesellschaft
- Magazin
- informativ
- 19.05.2025
- ZDF
Bei Morbus Crohn handelt es sich um eine chronisch-entzündliche Darmerkrankung, die bislang als unheilbar gilt. Die Therapie erfolgt individuell, etwa mit Kortison, Immunsuppressiva, Biologika und sogenannten Small Molecules.
Ähnliche Inhalte entdecken